什麼是電腦斷層( Computed Tomography 簡稱CT )?
傳統牙科X光攝影,包含根尖片與全口片,所得的平面影像包含資訊較少,且受到組織重疊的影響,使牙醫師較容易產生誤判。為解決此問題,電腦斷層攝影被引進牙科應用。
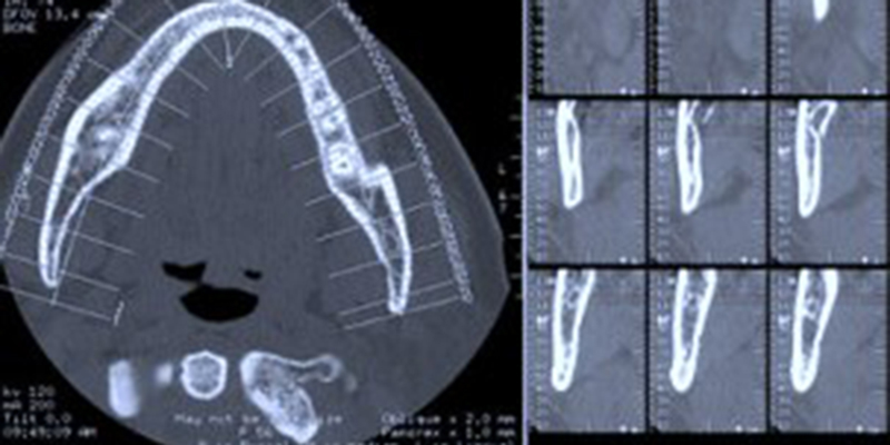
早期的牙科用電腦斷層主要是得到切面影像(cross-sectional view);隨著軟體功能的增強,也可以進行3D影像的重組。這一代的電腦斷層X光以固定軸向發射,
稱為CAT (Computed Axial Tomography)。


什麼是最新一代牙科用電腦斷層( CBCT )?
最新一代牙科用電腦斷層將X光改以錐形光束發射,可以在更短的時間內讀取更大量的資訊,被稱為Cone Beam Computed Tomography (CBCT)。
除了照射時間縮短外,更大幅減少了X光的暴露劑量,大約只有傳統電腦斷層的1/50。
同時藉由更新的電腦與軟體運算,可以快速地將數位資料重組為3D立體影像,讓牙醫師即時進行分析與診斷。
植牙手術前都要拍攝3D電腦斷層嗎?
美國口腔顎面放射學會-AAOMR (The American Academy of Oral and Maxillofacial Radiology)最新提出的準則建議,3D電腦斷層(CBCT)是目前植牙手術前的最佳評估方式。
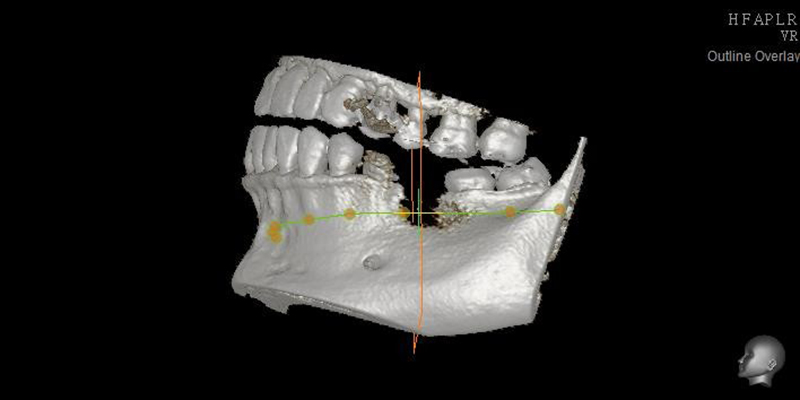
除了可以獲得切面影像(cross-sectional view)外,牙醫師同時可以了解包括骨脊型態與結構、骨密度、牙根位置與角度、神經、血管及上顎竇等周邊解剖結構的大量資訊,進而擬訂適切的治療計畫,來提昇植牙手術的安全性。


如想知道更多,請點擊以下連結: http://www.aaomr.org/
拍攝3D電腦斷層一定要到大醫院或影像中心嗎?
早期一般診所多半沒有購置電腦斷層X光機。要做植牙手術時,牙醫師為了患者手術安全起見,總是希望患者能到放射中心,或是大型醫院拍攝電腦斷層掃描;這對患者而言不僅要多跑一趟,還要三到五天等報告出來才能再回到診所進行治療。
在現今忙碌的生活步調,有效率的就診流程是普遍的期待。因此,似真牙醫運用最新的牙科專用電腦斷層,直接在診所內拍攝,只需要三分鐘的影像重組時間,不需要再透過任何軟體修片或是繁瑣後製,3D立體影像立即在診間的電腦呈現,醫師即可進行診斷,並藉由3D的模擬圖像進一步規劃治療計畫。
 
Pax-Uni3D OS _ Pano / CBCT / Ceph
拍電腦斷層(CT)需要多久的時間?
一般狀況而言,拍攝時間僅須15秒,患者只需安靜的站或坐在機器前。掃描時患者頭部若是有移動,便會產生影像模糊不清以及影響檢查的正確性。因此患者應聽從醫師指示充分配合,以便使檢查能迅速確實的完成。
3D立體影像和2D影像有什麼差異?
數位化3D 的電腦斷層掃瞄,提供了傳統平面X光無法判讀的訊息,如牙床骨的深度、厚度以及角度,還有重要的神經、血管與鼻竇所在的位置。有了這些電腦分析的數值,就如同擁有了虛擬視覺,可直接進入植牙手術區域探索牙床的內部結構。醫師因而能在手術前事先做好治療計畫與準備,將手術風險降到最低,保障患者安全。


拍攝電腦斷層的步驟
| Step1 | 進入X光室,調整位置,拍攝電腦斷層 | 
| Step2 | 只須15秒完成拍攝 | 
| Step3 | 電腦讀取數位影像資訊 | 
| Step4 | 三分鐘後完成建構3D立體影像 | 
| Step5 | 牙醫師即刻讀取影像,作出診斷與治療計畫 | 
拍攝電腦斷層(CT)的輻射劑量會很高嗎?
牙科診斷用的X光劑量相當低,會引起罹患疾病或產生癌症的機率更是微乎其微。
與正確診斷及治療的利益相較,其利遠大於弊。拍攝一般醫療電腦斷層,依部位及範圍不同,人體大約會吸收到1200~3300微西弗(µSv)的劑量。
一般日常生活中的天然背景輻射包含手機、電器用品等,人體每天會吸收的輻射劑量就已經有8微西弗(µSv)。而拍攝牙科專用的電腦斷層人體僅僅只有吸收25~60微西弗(µSv),是目前市面上劑量最低的電腦斷層。
懷孕婦女可以拍攝X光或電腦斷層嗎?
游離輻射對胎兒細胞雖然有可能產生影響,但也有研究顯示照X光導致新生兒早產的機率與沒照X光片者並沒有顯著差異。為將可能之風險降至最低,如果已經懷孕,請務必在進行拍攝前告知您的醫生以商討其必要性。
若照X光是不可避免的話,絕對要做好防護措施(以鉛衣蓋住腹部,X光避免向腹部照射)。但為了孕婦及新生兒的健康,上上之策還是在懷孕之前做好全口的檢查提前治療,避免在懷孕期間為牙疾所苦。
